マウスピース矯正を始めて1ヶ月。
「ちゃんと歯が動くのかな?」と半信半疑だった自分も、
今では少しずつ“変化”を感じるようになってきました。
今回は、装着から1ヶ月経過して感じた実際の変化や、
痛み・食事・生活リズムなどリアルな感想をまとめてみたいと思います。
1ヶ月経って、まず感じた「見た目の変化」
装着を始めて1週間ほどは、見た目の変化はほとんど感じられませんでした。
ですが、2〜3週間を過ぎたあたりから、ほんの少し前歯のすき間が狭くなった気がしました。
正直、毎日鏡を見ていると気づかないレベルですが、
ふと写真を見返したときに「あれ?なんか違う?」と感じるくらいの変化。
マウスピース矯正は、歯がゆっくり確実に動いていくものなので、
“劇的”というより“じわじわ”です。
でもその小さな変化が、妙に嬉しいんですよね。
マウスピースのstepが進むにつれて「ちゃんと動いてるんだ」と実感できると、
毎日の装着時間(20時間以上)を守るモチベーションにも繋がります。
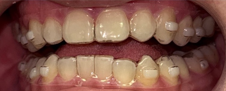
ちなみに1カ月目では、マウスピースstep4まで進みました。

(1カ月目の報告写真:マウスピース装着時)
装着のコツと、生活リズムの変化
1ヶ月経って感じたのは、生活の一部として完全に定着してきたということ。
最初の頃は「外して食べる」「磨いてつけ直す」の流れが正直面倒でした。
でも今はもう、歯磨きや食事のタイミングに合わせて、歯磨きや歯磨き後のチューイー噛みなどが習慣化され、ストレスなく自然に動けるようになりました。
1.外すときは前歯の端からゆっくり持ち上げる
2.つける前は必ず歯を磨く or うがいをする
3.マウスピースも歯ブラシで軽く洗浄してから装着
この3つを習慣化すると、口の中の不快感もなく快適に過ごせます。
特に、外したままにして時間が空くと歯が微妙に戻ってしまうので、
「食べ終わったらすぐ装着」が鉄則です。
1ヶ月で感じた“痛み”と“違和感”
マウスピース矯正を始めて一番気になるのが「痛み」。
結論から言うと、マウスピースのstepが進み、新しくなる度に圧が掛かり、少し窮屈で痛みを感じます。
これは、歯が実際に動き始めている証拠で嬉しくもあります。
ただ、耐えられないような痛みではなく、
「ちょっと引っ張られてるな」と感じる程度。
2〜3日もすれば徐々に歯も動き、スッと落ち着きます。
痛みというより、朝起きた時に軽い“圧”を感じるくらい。
それが逆に「動いてるんだな」という実感に変わります。
スポンサーリンク
歯が痛くなるNG行動
食事は基本的に何でも食べて良いのですが、辛い刺激物と固いモノは避けた方が良さそうです。
少しずつ動いている歯なので、辛い刺激物を食べると歯茎に染みました。
あたりめなどの固い食べ物も歯茎に染みますので控えることをおすすめします。
また、歯の移動と合わせて、噛み合わせもどんどん変化していくので、うまく噛むことができず、自然と歯に負担の少ない、やわらかい食べ物を選ぶようになりました。
人前でも気にならない透明度
「マウスピースって見た目でバレないの?」というのも、よくある疑問。
実際に1ヶ月使ってみて感じたのは、
本当にほとんど気づかれないということ。
気づかれたのは一人だけ、それも職業柄で歯を見てしまうという、歯科技師の方でした。
それ以外は、こちらから言わなければまったく分からないレベルでした。
なので気にせず、仕事中もマウスピースをずっと付けていました。
予想外の“ダイエット効果”?
これは完全に想定外だったのですが、
マウスピースを始めてから間食が減りました。
食べるたびに外す → 洗う → つけ直す、という流れが面倒で(笑)
結果的に、お菓子やジュースを自然と控えるように。
食事も「ちゃんと食べて」「しっかり磨く」ことが習慣になったおかげで、
体のリズムまで整った気がします。
体重も少し減り、規則正しい食生活を実感しました。
スポンサーリンク
1ヶ月経過しての心境の変化
最初は“前歯のすきっ歯を直したい”という理由だけでしたが、
今では「歯並びを整える=自分への投資」だと感じています。
マウスピースを着けるたびに、
「今日も自分のために続けてる」と思える小さな達成感があるんです。
40代になってくると、どうしても「もういいかな」と諦めがちになりますが、
こうして少しずつ変化を感じられると、気持ちまで前向きになっていきます。
まとめ:変化は小さい。でも確実に前進している
1ヶ月経った今の率直な感想は、
「見た目の変化は小さいけれど、確実に動いている」という実感。
マウスピース矯正は地味な努力の積み重ねですが、
その分だけ“継続の価値”を感じやすい治療です。
痛みも少なく、見た目も自然。
40代からでも全然遅くないどころか、
「今の自分をもっと好きになれるきっかけ」になると思います。
次回は矯正期間の折り返し地点。
3カ月目以降の中間レポートをお届けします!
スポンサーリンク


